pistol

Smiley a plecat în vacanță cu Gina Pistol. Ce destinație exotică au ales
03 ian. 2018, 14:38

Smiley a plecat în vacanță cu Gina Pistol. Ce destinație exotică au ales

Tragedie în Bulgaria: patronul unui restaurant, împușcat mortal de un copil de șase ani
01 sept. 2017, 22:52

Tragedie în Bulgaria: patronul unui restaurant, împușcat mortal de un copil de șase ani

Jaf armat la o bancă din București: a amenințat casiera cu un pistol și a fugit cu banii
25 mai 2017, 18:48

Jaf armat la o bancă din București: a amenințat casiera cu un pistol și a fugit cu banii

Anchetă în Timiș, după ce pistolul unui polițist a dispărut
23 mart. 2017, 16:44

Anchetă în Timiș, după ce pistolul unui polițist a dispărut

VIDEO. Panică în centrul Ploieștiului. Un tânăr cu turban pe cap a lăsat jos geamul mașinii și a tras. Ce au descoperit polițiștii
23 mart. 2017, 09:32

VIDEO. Panică în centrul Ploieștiului. Un tânăr cu turban pe cap a lăsat jos geamul mașinii și a tras. Ce au descoperit polițiștii

Explicația incredibilă a unui muncitor din Arad care și-a împușcat colegul în anus
09 mart. 2017, 16:57

Explicația incredibilă a unui muncitor din Arad care și-a împușcat colegul în anus

Un bărbat din București a intrat înarmat în sediul DNA Ploiești
22 dec. 2016, 15:27

Un bărbat din București a intrat înarmat în sediul DNA Ploiești

Top 5 invenții bizare ale inventatorilor faimoși
08 iul. 2016, 20:47

Top 5 invenții bizare ale inventatorilor faimoși

Ciuruiți cu pistolul-radar
29 mart. 2016, 12:27

Ciuruiți cu pistolul-radar

Trei olteni, speriați de noul radar al poliției rutiere.
23 feb. 2016, 15:22

Trei olteni, speriați de noul radar al poliției rutiere. „Am crezut ca ne împușcă, pentru că avem dușmani”

Atenție ce postați pe Facebook. Acești oameni au primit ani grei de închisoare pentru fotografii postate pe rețeaua de socializare
19 ian. 2016, 11:00

Atenție ce postați pe Facebook. Acești oameni au primit ani grei de închisoare pentru fotografii postate pe rețeaua de socializare

Unde și-a ascuns o suspectă de trafic de droguri pistolul încărcat. Polițiștii au fost nevoiți să cheme o femeie ofițer pentru percheziție
10 sept. 2015, 10:26

Unde și-a ascuns o suspectă de trafic de droguri pistolul încărcat. Polițiștii au fost nevoiți să cheme o femeie ofițer pentru percheziție

Un actor britanic s-a împușcat în cap, în timpul filmărilor pentru un lungmetraj de acțiune
17 aug. 2015, 15:47

Un actor britanic s-a împușcat în cap, în timpul filmărilor pentru un lungmetraj de acțiune

Un bărbat care i-a amenințat cu un pistol pe călătorii unui microbuz, cercetat de Poliție
04 iun. 2015, 13:17

Un bărbat care i-a amenințat cu un pistol pe călătorii unui microbuz, cercetat de Poliție

Un copil în vârstă de trei ani din SUA a găsit o armă în geanta mamei. Ce a urmat
02 feb. 2015, 08:18

Un copil în vârstă de trei ani din SUA a găsit o armă în geanta mamei. Ce a urmat

CTP: Există și lucruri sfinte
15 ian. 2015, 09:05

CTP: Există și lucruri sfinte

Un tânăr din Neamț se afla într-un bar. Când i s-a adus nota de plată, a scos un pistol și a tras
14 ian. 2015, 17:15

Un tânăr din Neamț se afla într-un bar. Când i s-a adus nota de plată, a scos un pistol și a tras

Un băiat în vârstă de 12 ani, înarmat cu un pistol airsoft, a fost ucis de polițiști în Cleveland
24 nov. 2014, 07:18

Un băiat în vârstă de 12 ani, înarmat cu un pistol airsoft, a fost ucis de polițiști în Cleveland

Ați cumpăra o asemenea casă? Fotografii hilare postate de agențiile imobiliare
24 oct. 2014, 18:14

Ați cumpăra o asemenea casă? Fotografii hilare postate de agențiile imobiliare

Liderul interlop Costel Corduneanu, reținut de DIICOT, i-a cerut finului lui să-i aducă din Spania un pistol pentru a asasina o persoană
17 oct. 2014, 16:07

Liderul interlop Costel Corduneanu, reținut de DIICOT, i-a cerut finului lui să-i aducă din Spania un pistol pentru a asasina o persoană

Interlopul Mudava a fost arestat după ce a bătut o femeie la Hanul Drumețului și a amenințat Poliția cu pistolul
10 mart. 2014, 14:19

Interlopul Mudava a fost arestat după ce a bătut o femeie la Hanul Drumețului și a amenințat Poliția cu pistolul

S-a întâmplat în plină zi: pasagerii unui autobuz au fost amenințați cu pistolul
29 dec. 2013, 14:43

S-a întâmplat în plină zi: pasagerii unui autobuz au fost amenințați cu pistolul

Filmul complet al scandalului din cartierul Militari. Cum s-a ajuns de la băgatul în față la coadă, la 10 împușcături de la „o distanță de 10-15 centimetri
27 nov. 2013, 18:49

Filmul complet al scandalului din cartierul Militari. Cum s-a ajuns de la băgatul în față la coadă, la 10 împușcături de la „o distanță de 10-15 centimetri”

Raport pe învățământ: mai multe violențe în școli. Doi elevi au venit cu pistolul la școală anul trecut
10 oct. 2013, 14:17

Raport pe învățământ: mai multe violențe în școli. Doi elevi au venit cu pistolul la școală anul trecut

VIDEO. O îmbrățișare i-a adus moartea unei tinere din SUA:
03 oct. 2013, 21:55

VIDEO. O îmbrățișare i-a adus moartea unei tinere din SUA: „A fost un accident teribil”

Un bărbat a fost rănit cu spray paralizant, în Piața Dorobanți din Capitală, după o șicanare în trafic cu o femeie. Agresoarea a fost prinsă. UPDATE
12 sept. 2013, 17:13

Un bărbat a fost rănit cu spray paralizant, în Piața Dorobanți din Capitală, după o șicanare în trafic cu o femeie. Agresoarea a fost prinsă. UPDATE

ULTIMA ORĂ! A fost împușcat în cap, în urmă cu câteva minute. Se afla în Dorobanți. Nimeni nu înțelege cum a fost posibil
12 sept. 2013, 12:56

ULTIMA ORĂ! A fost împușcat în cap, în urmă cu câteva minute. Se afla în Dorobanți. Nimeni nu înțelege cum a fost posibil

Tragedie în SUA: ce a făcut un băiat de 8 ani după ce s-a jucat Grand Theft Auto
31 aug. 2013, 17:57

Tragedie în SUA: ce a făcut un băiat de 8 ani după ce s-a jucat Grand Theft Auto

Unde a ascuns o americancă de polițiști un revolver
14 iul. 2013, 18:37

Unde a ascuns o americancă de polițiști un revolver

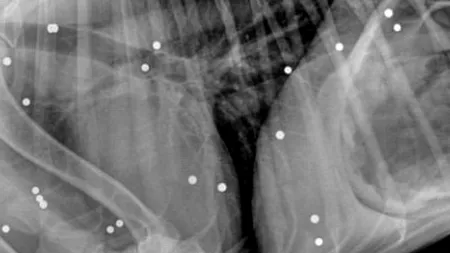
A fost împușcat de 100 de ori și a supraviețuit. Medicii au fost uluiți când au văzut radiografia
15 iun. 2013, 12:45

A fost împușcat de 100 de ori și a supraviețuit. Medicii au fost uluiți când au văzut radiografia

Un pistol și 66 de cartușe, găsite în podul clădirii unde este și sediul PSD Bistrița-Năsăud
31 mai 2013, 00:02

Un pistol și 66 de cartușe, găsite în podul clădirii unde este și sediul PSD Bistrița-Năsăud

Un consumator de droguri a atacat o farmacie din București cu un pistol
26 mai 2013, 19:05

Un consumator de droguri a atacat o farmacie din București cu un pistol

Tânăr oprit cu focuri de armă, după ce a amenințat un polițist cu o coasă
15 mai 2013, 20:21

Tânăr oprit cu focuri de armă, după ce a amenințat un polițist cu o coasă