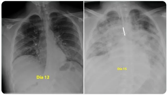
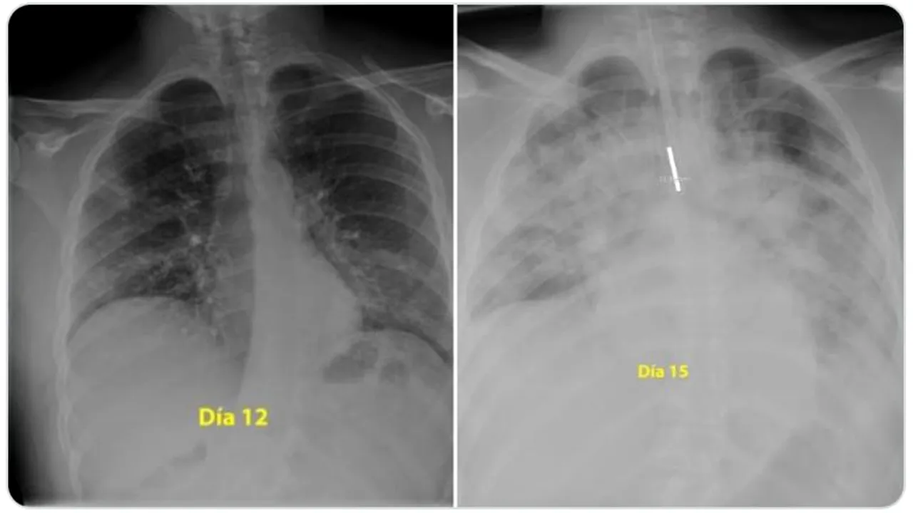
Un renumit medic pneumolog din Spania a făcut publice pe rețeaua de socializare Twitter două radiografii care arată cum a acționat noul coronavirus asupra plămânilor unui tânăr de 28 de ani. Pacientul a suferit o formă gravă de Covid-19, iar în numai trei zile virusul SARS-CoV-2 i-a „mâncat” ambii plămâni!
„Pentru cei care cred că sunt nemuritori și continuă să iasă în parc fără să acorde atenție ordinului de a rămâne acasă, acestea sunt radiografiile unui băiat de 28 de ani intubat la Terapie Intensivă în spitalul meu, pentru #coronavirus. Indiciu: plămânii sunt negri, albul este pneumonie”, a scris medicul pe Twitter.
Prima fotografie a fost realizată în a 12-a zi de boală, iar cea de-a doua, după alte trei zile. În imagini se văd ambii plămâni măcinați de noul coronavirus, iar concluzia este că infecția poate face mult rău și tinerilor, nu numai vârstnicilor.
:format(webp):quality(80)/https%3A%2F%2Fwww.gandul.ro%2Fwp-content%2Fuploads%2F2020%2F03%2Fplamani.jpg)
Beatrice Mahler, managerul Institutului de pneumoftiziologie Marius Nasta, din București, a comentat la Digi 24 cele două fotografii: „E vorba de sindrom de depresie respiratorie acută, este forma severă de pneumonie, care necesită intubație, ventilație mecanică. Din păcate, răspunsul este da, atât de repede și de dramatic li se întâmplă nu numai bătrânilor, ci și tinerilor, tuturor. Vârsta poate să fie un avantaj, în sensul că poate să ajute să depășim acel moment, dacă suntem într-o secție de terapie intensivă, suntem ventilați mecanic, pentru că toate celelalte organe se presupune că sunt sănătoase și pot să susțină momentul critic prin care trece organismul. De aceea, rata de mortalitate este mai mare la cei vârstnici, pentru că boala apare pe un organism bolnav, cu o inimă care are probleme, un ficat bolnav, și atunci depășirea momentului este critică”.
În plus, avertizează medicul Beatrice Mahler, „nu trebuie să uităm că România mai are un specific, pacientul cu tuberculoză. Sunt 12.000 de pacienți noi cu tuberculoză în România, pacienți la categorie de risc, care trebuie protejați în mod deosebit în această perioadă, pacienți care au nevoie de medicație și care medicație trebuie să ajungă acasă. Este obligatoriu să nu uităm că ei există și că trebuie să avem grijă de ei”.
Situația din Spania este cu adevărat disperată. La o populație de 46 de milioane de locuitori, Spania a depășit deja China la numărul de decese cauzate de coronavirus. Și a făcut asta în numai trei săptămâni!