22:50
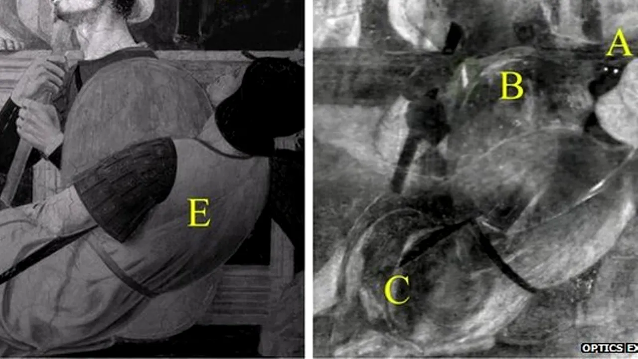
Detalii din opere de artă renascentiste, care erau ascunse privirii, au putut fi observate grație unei noi tehnici pe bază de infraroșu, scrie BBC News.
Spre deosebire de celelalte metode de studiere a picturilor în infraroșu, această nouă tehnică folosește mult mai puțină căldură, un detaliu crucial când vine vorba despre opere de artă foarte vechi.

Tehnologia infraroșie este utilizată în mod curent atât în procesul de studiere a unor picturi, cât și în cel de restaurare.
Ea ajută la dezvăluirea straturilor de sub picturi (detalii, retușuri), ori la detectarea pigmenților de culoare în picturile murale. Totodată, infraroșul poate fi una dintre metodele prin care poate fi stabilită vârsta unei opere de artă sau chiar autenticitatea ei.
