Specialiști în sănătate din întreaga lume recomandă din ce în ce mai mult diagnosticarea pacienților bolnavi de coronavirus cu ajutorul radiografiilor la nivelul plămânilor întrucât se poate constata mai repede evoluția bolii, precum și stadul în care se află persoana afectată.
Colegiile Regale Chirurgicale din Marea Britanie au elaborat sfaturi și ghiduri privind cazurile de COVID-19. Radiografia la plămâni pentru a evalua prezența unei posibile infecții cu noul COVID-19 poate avea un rol în determinarea gradului de voluție al bolii, mai ales la pacienții care ar avea nevoie și de o radiografie la nivelul abdomenului, în special cei care au nevoie de operații de urgență.
În absența unui acces rapid la alte metode de testare pentru COVID, acest lucru este adecvat, mai ales dacă va contribui la modul de gestionare a pacienților la nivelul spitalelor. Însă dacă radiografiile nu relevă afecțiuni la nivelul plămânilor, acest nu exclude totuși o diagnosticare pozitivă cu SARS-COV-2, relatează Colegiul Regal al Radiologiștilor.
Scanările CT au intrat în prima linie de diagnosticarea a infecției cu Covid-19, având în vedere deficiența actuală de kituri de testare, potrivit Societății Radiologice din America de Nord (RSNA) – care a publicat o serie de imagini în mai multe lucrări științifice.
Un studiu multi-centru al relației dintre descoperirile CT (n. r. computer tomograf / tomografie) toracice și condițiile clinice ale pneumoniei dată de noul coronavirus, publicat și în American Journal of Roentgenology – a arătat că majoritatea pacienților cu pneumonie provocată de COVID-19 prezintă consolidări (opacități) de tip sticlă mată GGO (86,1%) sau GGO mixt și consolidare (64,4%) ori mărire vasculară în leziune (71,3%).
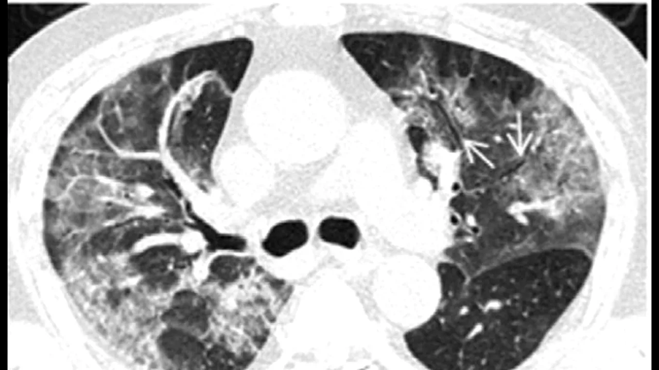
Printre studii se numără o lucrare publicată în revista RSNA Radiology: Cardiothoracic Imaging care descrie cazul unui bărbat de 44 de ani, membru al personalului de transport de la piața de fructe de mare Huanan din Wuhan, China.
Bărbatul avea febra și tușea de 13 zile când a fost internat la spital pe 25 decembrie 2019. Acolo a fost diagnosticat cu pneumonie severă – afecțiune caracterizată prin inflamația spațiilor aeriene din plămâni – și sindromul de detresă respiratorie acută, potrivit studiului.

Radiografii făcute într-un interval de 4 zile la un pacient suspect de COVID-19 – evoluție rapidă a afecțiunii pulmonare / Sursă FOTO. RSNA.org
Sean Jorgensen Callahan, profesor asistent de medicină internă la Universitatea din Utah – a declarat că COVID-19 poate provoca inflamații în spațiile mici de aer ale plămânilor, provocând acumularea de lichide. Aceasta înseamnă că oxigenul nu se poate transfera corect din plămâni în fluxul sanguin.
„Când se întâmplă acest lucru, pacienții pot respira foarte puțin, pot avea un nivel scăzut de oxigen, tuse și pot avea și alte simptome respiratorii”, a spus el pentru Newsweek.
„Plămânii normali pe aceste tomografii sunt negri sau gri închis. Zonele anormale sunt albe”, a mai specificat acesta.
Și specialiștii din cadrul Societății Fleischner consideră esențială radiografia pulmonară în diagnosticarea și tratarea pacienților suspecți sau bolnavi cu noul coronavirus deoarece relevă informații-cheie care contribuie la stabilirea fazei exacte a bolii, precum și a modului în care avansează aceasta. Însă, radiografiile pulmonare ajută și personalul medical în trierea pacienților pentru ca sistemul medical să nu intre în colaps.
Societatea Fleischner a făcut un studiu care reprezintă opiniile și perspectivele medicilor specialiști din 10 țări, care activează în domeniile: radiologie toracică, pulmonologie, terapie intensivă, medicină de urgență, medicină de laborator și controlul infecțiilor.
Tomografia și radiografia sunt instrumente cheie în diagnosticul și managementul numeroaselor afecțiuni respiratorii, însă rolul lor în gestionarea COVID-19 nu a fost considerat în contextul multor variabile, inclusiv gravitatea bolilor respiratorii, pre-testatre probabiă, factorii de risc pentru evoluția bolii și constrângerile critice ale resurselor.
Reprezentanții societății au analizat trei scenarii care au inclus 11 puncte distincte în care imagistica poate furniza informații clinice esențiale, dar și ale trei situații în care radiografia este folosită de obicei.
Paisprezece întrebări-cheie, care corespund cu 11 puncte decisive din cele trei scenarii și trei situații clinice suplimentare au fost evaluate pe baza valorii anticipate a informațiilor pe care imaginea toracică ar fi de așteptat să le ofere. Rezultatele au fost agregate, rezultând cinci recomandări principale și trei destinate să ghideze medicii în utilizarea radiografiei toracice și tomografiei în managementul COVID-19.
Rezultatele au sugerat că radiologia nu este indicată mereu la persoanele asimptomatice sau la pacienții doar suspecți de COVID-19 sau cei care au simptome clinice ușoare. Utilizarea imagisticii toracice este indicată la pacienții cu noul COVID-19 care au simptome respiratorii grave. De asemenea, radiologia este indicată pentru pacienții cu simptome moderate până la severe, indiferent de rezultatele testului COVID-19.
Într-un mediu limitat de resurse (lipsa echipamentului de protecție personală sau disponibilitatea testării COVID-19), radiologia este indicată pentru triajul medical al pacienților suspecți de COVID-19, care prezintă caracteristici clinice moderate până la severe și cu probabilitate mare în faza de pre-testare.
În studiu se mai precizează că tomografia este adecvată la pacienții diagnosticați cu COVID-19 care au insuficiență funcțională și / sau hipoxememie (nivel scăzut de oxigen în sânge) după recuperarea. Când există o transmisie comunitară cunoscută, au fost găsite „semne” ale COVID-19 prin intermediul tomografiilor. În aceste cazuri, pacienții ar trebui să facă testarea COVID-19 folosind o analiză virală a reacției în lanț a polimerazei cu transcripție inversă (RT-PCR).
Autorii studiului remarcă faptul că această declarație de consens reprezintă opinia acestora într-o perioadă în care în care starea epidemiilor regionale și disponibilitatea resurselor critice pentru combaterea acestor epidemii variază zilnic. Recomandările ar putea fi modificate pe măsură ce situația evoluează.
Pacienții cu cazuri severe dezvoltă de obicei lichid în plămânii lor, similar cu cele observate în cazurile pneumonice standard. Fluidul respectiv poate fi detectat pe un tomograf, unde apare sub formă de petice albe pe care medicii le numesc „sticlă măcinată”.
În mod normal, plămânii sănătoși apar ca fiind de culoare negru pe tomografie.
„Seamănă cu o sticlă mată măcinată care, de fapt, reprezintă fluid în spațiile pulmonare”, a explicat Paras Lakhani, radiolog la Universitatea Thomas Jefferson, pentru Business Insider.
De asemenea, Paras Lakhani explicat că un ianostic de COVID-19 nu poate fi pus doar prin intermediul leziunilor care au aspect de sticla macinată.
„Acest tip de leziuni poate fi observat tipurile de infecții – cauzate de bacterii, viruși sau uneori sunt provocate chiar de factori neinfecțioși. Chiar și leziunile provocate de vapig ar putea păarea așa ”, a mai explicat specialistul.
Însă leziunile sunt foarte grave dacă se extind până la marginile plămânilor pacientului, a mai adăugat radiologul..
„Așa ceva nu întâlnim prea des. Am văzut astfel de leziuni în cazul pacienților bolnavi de sindromul respirator acut sever (SARS) în cazul celor bolnavi de sindromul respirator din Orientul Mijlociu (MERS)”, a declarat Paras Lakhani pentru sursa citată.
Cercetătorii au analizat scanările de la pacienții de la Spitalul Zhongnan din Universitatea Wuhan, majoritatea fiind bărbați mai în vârstă, cu probleme de sănătate preexistente. Imaginile de mai sus sunt scanări ale unui pacient de 52 de ani.
Primul grup de scanări (grupa A) au fost făcute pe 7 ianuarie, la cinci zile după ce pacientul a început să prezinte simptome. Ele prezintă „petele de sticlă măcinată” în partea de jos a ambilor plămâni.
În perioada 7 – 12 ianuarie bărbatul a putut respira doar cu ajutorul ventilatorului. După aceea, starea lui părea să se îmbunătățească. Al doilea set de scanări (grupul B), făcut pe 21 ianuarie, arată că multe dintre petele albe fie s-au micșorat, fie au dispărut.

Sursă FOTO: Dawei Wang, Bo Hu, Chang Hu, ș.a. via Business Insider
„Dacă nu știai despre acest focar (n. r. de coronavirus), te-ai fi utiat pe radiografie și ai fi crezut că pacientul are penumonie, deoarece acesta este cel mai des întâlnit lucru pe care îl vedem. Însă pneumonia nu progresează rapid”, a explicat Paras Lakhani.
Un studiu efectuat pe 21 de pacienți din trei provincii chineze a revelat faptul că patru pacienți prezentau „model ciudat” al acestor leziuni la nivelul plămânilor.
„Arată aproape ca un drum pietruit. Uneori, când citim radiografiile, îl vedem peste tot – este prezent la nivelul întregului plămân.
„Modelul ciudat” a apărut și pe radiografiilor pacienților bolnavi de SARS și MERS, a mai adăugat specialistul.
Un alt studiu asupra pacienților care s-au vinecat de coronavirus a sugerat că „modelul ciudat” ar putea fi comun și în rândul pacienților cu simptome mai ușoare.