Prima pagină » Mini » Descoperire facută după o radiografie: „Femeia are o comoară în genunchi”. Anunțul făcut de medici

Descoperire facută după o radiografie: „Femeia are o comoară în genunchi”. Anunțul făcut de medici

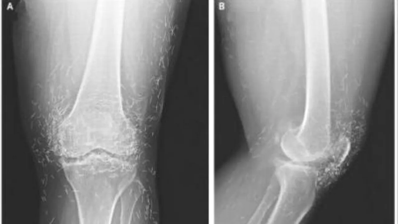
Descoperire facută după o radiografie:

O femeie din Coreea de Sud, in varsta de 65 de ani, a „descoperit”  o comoară după fost pusa de catre medici sa isi faca o radiografie a genunchilor, scrie sport.ro. Aceasta sufera de artrita acuta si are dureri de ani de zile, nereusind sa rezolve nimic cu medicamentele prescrise de doctori.

Femeia a apelat la acupunctura insa metoda doctorului a fost putin extravaganta. Acesta i-a inserat de-a lungul timpului sute de ace de aur in picioare, pe care le-a lasat acolo cu scopul de stimula in continuare muschii.

Metoda nu a dat roade, desi doctorul este recunoscut pentru ca a tratat mai multe VIP-uri din Coreea, printre care actori, cantareti sau sportivi, insa femeia a descoperit la radiografie ca are sute de ace in picior, acestea fiind toate din aur!

Chiar daca nu a putut sa evalueze cantitatea de aur din picioarele femeii, doctorul care i-a analizat radiografie a ajuns la concluzia ca femeia are o avere „in” picioare! Acesta a adaugat insa ca nu este o idee buna sa lasi obiecte straine in corp, existand riscuri mari de infectie.

Recomandarea video

Mediafax
„Trebuie să conducem mai puțin” Avertismentele directorului general OMV despre criza de combustibil. Nicușor Dan și Ilie Bolojan se întâlnesc mâine cu Alfred Stern
Digi24
„Pare că noi suntem următorii”. Teritoriul danez care vrea independența, dar se teme că va ajunge ținta lui Trump sau a Rusiei
Cancan.ro
Amantlâc! Bogdan Stancu s-a cuplat cu o celebră prezentatoare TV, deși e căsătorit. Avem imaginile incendiare
Prosport.ro
FOTO. „Ești perfectă”. Apariției vedetei i-a extaziat pe fani
Adevarul
Putin și Xi jubilează privindu-i pe americani cum se chinuie în Iran? Expert de la Casa Albă: „Suntem blocați într-o capcană creată de noi înșine”
Mediafax
Președintele Parlamentului iranian îl ia peste picior pe Donald Trump: „ne-a „înfrânt” de 9 ori în ultimele două săptămâni. Amuzant!”
Click
„Îi plăcea să mănânce simplu” Rețeta de post cu spanac pe care Nicolae Ceaușescu o consuma pe săturate. Leguma pe care o evita cu desăvârșire
Digi24
„Veţi vedea curând”. Iranul dezminte afirmaţiile lui Hegseth şi spune că „nu există nicio problemă” cu liderul Mojtaba Khamenei
Cancan.ro
O mare fabrică din România se închide după decenii de activitate. Peste 800 de angajați riscă să rămână fără loc de muncă
Ce se întâmplă doctore
Cristina Demetrescu nominalizează zodia care riscă să ajungă la sapă de lemn în luna martie: „Evitați riscurile mari!”
Ciao.ro
Amante celebre din showbiz-ul românesc! Unele au ajuns în faţa altarului, altele au rămas doar cu amintirea
Promotor.ro
Un jurnalist britanic a găsit ceva neașteptat pe bancheta unei mașini abandonate: „Nu ai fost mulțumit și vrei mai mult?”
Descopera.ro
Cea mai veche peșteră din lume este mai bătrână decât dinozaurii!
Râzi cu lacrimi
BANCUL ZILEI. La farmacie: - Aveți medicamente anti-potență? -La ce vă trebuie?
Descopera.ro
Au trecut 237 de ani de când a venit pe lume unul dintre cei mai mari fizicieni ai lumii