Prima pagină » Magazin » Un tânăr din China a șocat lumea medicală. Ce au descoperit doctorii în gâtul lui

Un tânăr din China a șocat lumea medicală. Ce au descoperit doctorii în gâtul lui

Un tânăr din China a șocat lumea medicală. Ce au descoperit doctorii în gâtul lui
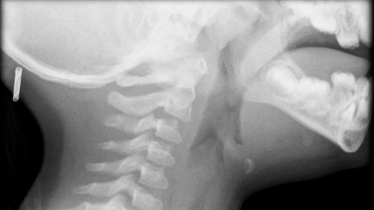
Tao Jiayuan, un tânăr de 16 ani din China i-a șocat pe medici cu cazul său

Tao Jiayuan, un tânăr de 16 ani din China, i-a șocat pe medici cu cazul său. Adolescentul se simțea rău de câteva zile. Acuza stări de vomă, era din ce în ce mai răgușit și tușea fără a fi răcit. Tânărul a ignorat toate aceste simptome până în momentul în care nu a mai putut să respire.

A fost transportat de urgență la medic. Doctorii au rămas șocați după ce l-au analizat. Tao avea în trahee o lipitoare, care trăia acolo de ceva vreme.

Ca să îi salveze viața, medicii au decis să îl opereze și să îi extragă lipitoarea din gât.

Astfel, adolescentul a fost supus unei operații care a durat 5 minute. În prezent, tânărul se simte bine.

Recomandarea video

Mediafax
Nicușor Dan, despre delegația României la Washington: „Prezența noastră clarifică relația bilaterală după dubiile din 2024”
Digi24
Soldații SUA sunt copleșiți de atât de multe date de pe câmpul de luptă, încât e nevoie de inteligența artificială pentru sortare
Cancan.ro
Tovarășul lui Alex Bodi l-a înfruntat pe 'Măcelarul lui Bebino'. Avem imaginile întâlnirii de gradul 0
Prosport.ro
FOTO. Transformarea Larisei Iordache. Cum arată după ce a născut
Adevarul
Noua ordine din AUR. Ce ascunde, de fapt, promovarea tandemului Dungaciu-Peiu: „Creează impresia de specializare”
Mediafax
„Care activitate? Că aia de judecată, sigur nu”. Șefa Inspecției Judiciare răspunde după ce mai mulți magistrați s-au plâns că nu mai au acces la alte dosare decât cele în care lucrează. Cum au, de fapt, acces procurorii la dosare
Click
A ajuns de la o pensie de 850 € la venituri de 3.500 €. Metoda folosită de un pensionar de 77 de ani
Digi24
Un aliat al lui Putin amenință puterile europene cu represalii dacă vor confisca nave din „flota fantomă” a Rusiei
Cancan.ro
Au apărut noi detalii despre cazul românului care a încercat să răpească o fetiță în Italia. Bărbatul ar fi acționat la...
Ce se întâmplă doctore
Cum arată și ce face astăzi Ana Paula Arósio? Actrița din „Terra Nostra” e total schimbată. Nimeni nu o mai recunoaște
Ciao.ro
Amante celebre din showbiz-ul românesc! Unele au ajuns în faţa altarului, altele au rămas doar cu amintirea
Promotor.ro
Foto / Controalele cu radarul pistol scot la iveală mai mult decât depășirea vitezei legale. Ce au găsit polițiștii în trafic
Descopera.ro
Ce vrea să construiască NASA pe Soare?
Râzi cu lacrimi
BANCUL ZILEI. BULĂ: -Eram cu iubita în pat, când am primit un mesaj...
Descopera.ro
Telescopul Webb a dezvăluit o surpriză majoră într-un sistem stelar îndepărtat