Prima pagină » Magazin » Banca de spermă l-a recomandat ca pe un geniu. Cum era de fapt donatorul

Banca de spermă l-a recomandat ca pe un geniu. Cum era de fapt donatorul

Banca de spermă l-a recomandat ca pe un geniu. Cum era de fapt donatorul
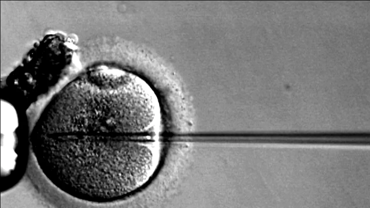
Trei familii canadiene au dat în judecată o bancă de spermă americană și pe distribuitorul său candian și solicită daune de peste 10 milioane de euro. Motivul deschideri procesului este că donatorul a fost prezentat ca un geniu, dar în realitate era un criminal cu grave tulburări mintale, informeaza agenția FrancePresse.

Cel puțin 36 de femei din Marea Britanie, Canada si Statele Unite se crede că au fost inseminate cu sperma acestui doantor în ultmul deceniu și multe au rămas însărcinate și au și născut.

„Este groaznic”, a declarat avocatul celor trei familii, James Fireman. „Aceste cupluri care caută ajutor pentru a-și întemeia o familie și sunt într-o situație de vulnerabilitate și-au pus speranța într-o bancă de spermă și iată ce s-a întmplat”, a spus el.

Ca urmare cele trei familii au făcut o plângere pentru înșelăciune împotriva companiei americane Xytex, din Georgia, SUA și a distribuitorul său canadian Outreach Health Services, din Onario. Reclamanții solicită de la cele două companii daune de 15 milioane de dolari canadieni, adică 10,4 milioane de euro.

Cele trei familii spun că au fost mințite atunci când donatorul le-a fost recomandat ca un geniu. Companiile medicale îl prezentau pe acesta ca fiind un om perfect sănătos, Cu un IQ foarte ridicat și deținător al unei diplome de doctorat în neuroștiințe.

Recalmanții au aflat printr-un noroc, dintr-o greșeală a companiei Xytex, care este adevărata identitate a tatălui biologic. Unul dintre angajații companiei a atașat accidental într-un email datele de contact ale donatorului.

La o simplă căutare pe Internet, aceștia au descoperit că era vorba de fapt de un bărbat de 39 de ani, a cărui singură legătură cu neuroștințele era că suferea de schizofrenie, tulburări psihotice și narcisiste de personalitate, din cauza consumului de droguri.

Mai mult el fusese închis pentru diverse multiple tâlhării și alte mici delicte, iar studiile și le abandonase cu două decenii în urmă.

Companiile medicale nu au oprit vânazarea spermei acestuia ci au continuat să onoreze cerei și după ce în 2014 au fost informate în legătură cu nepotrivirea dintre descrirea pe care o ofereau clienților și realitate.

Recomandarea video

Mediafax
Cod galben de vânt puternic în nouă județe și în Capitală
Digi24
Vladimir Putin „a otrăvit” mințile rușilor. Mihail Kasianov, despre ultima întâlnire cu liderul de la Kremlin: „Te voi distruge oricum”
Cancan.ro
Ultimele imagini cu Rodica Stănescu înainte să moară! Se transformare radical de dragul iubitului. Intervenții estetice și...
Prosport.ro
FOTO. Cum arată la 43 de ani Ileana Lazariuc, fosta noră a magnatului Ion Țiriac
Adevarul
Anul 2026, istoric pentru infrastructura României: autostrăzi complet finalizate și sute de kilometri pregătiți de inaugurare
Mediafax
Sfântul Nicolae și Legenda lui Moş Nicolae. Ce nume se sărbătoresc azi
Click
Monica Pop, dată afară din restaurant! Ireal ce i-a făcut un angajat medicului și prietenelor sale: „Bineînțeles că și ospătarii și ceilalți participanți, erau consternați”
Digi24
Rachete spațiale, aur ilegal și o misiune imposibilă a Legiunii Străine: De ce nu poate Europa să își apere frontiera din Amazon
Cancan.ro
Rodica Stănoiu, înmormântare stranie, fără preot. S-au cântat colinde în loc de veșnica pomenire.
Ce se întâmplă doctore
Ce se întâmplă cu pensiile din ianuarie 2026? Ministrul Muncii a clarificat situația
Ciao.ro
Amante celebre din showbiz-ul românesc! Unele au ajuns în faţa altarului, altele au rămas doar cu amintirea
Promotor.ro
Tesla Model 3 Standard, disponibilă și în România. E cea mai ieftină Tesla și poate fi luată în rate
Descopera.ro
Un EXPERT spune că modelele lingvistice mari nu vor fi niciodată cu adevărat INTELIGENTE
Râzi cu lacrimi
BANCUL ZILEI. BULĂ nedumerit: - Iubita mea s-a întins pe canapea, şi-a dat fusta jos, şi-a smuls...
Descopera.ro
Banii în cuplu: cum discuți, cum planifici și cum eviți tensiunile?