Prima pagină » Magazin » Beție la nivel înalt: S-a trezit cu o durere de stomac, dar când a ajuns la spital medicii i-au găsit un obiect pe care bărbatul îl credea pierdut – FOTO

Beție la nivel înalt: S-a trezit cu o durere de stomac, dar când a ajuns la spital medicii i-au găsit un obiect pe care bărbatul îl credea pierdut – FOTO

Săptămâna trecută, un bărbat din China a mers la spital după ce s-a trezit cu o durerea puternică la nivelul stomacului, dar doctorii au fost șocați să constate că disconfortul îi era provocat de cheile de la casă pe care le înghițise cu o seară în urmă, în timpul unei beții.

Pe 7 iunie, bărbatul de 26 de ani identificat drept Chang, din Guangdong, China, ieșise în oraș cu prietenii pentru a se distra la sfârșitul de săptămână.

Când a ajuns acasă, în mjilocul nopții, a constatat că nu își găsește cheile așa că a sunat pe cineva din casă pentru a-l lăsa înăuntru. Era destul de băut așa că nu a acordat prea mare importanță cheilor și s-a dus direct la culcare.

A doua zi dimineață, pe măsură de efectul alcoolului dispărea, Chung a început să simtă o durere puternică în piept și la nivelul stomacului așa că a mers la spitalul local Dongguan.

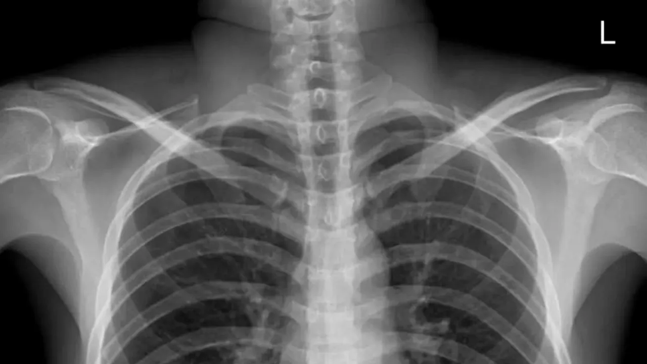
După ce doctorii i-au făcut o radiografie, au fost șocați să vadă că acele chei, pierdute cu o seară în urmă, îi erau blocate la nivelul esofagului. Însă, se pare că și bărbatul a fost la fel de surprins precum doctorii, potrivit site-ului Soho, și nu avea idee cum ajunseseră cheile acolo.

Doctorii au analizat toate variantele pentru a-l ajuta pe Chang să scape de durere, dar cea mai bună a fost operația de urgență.

Doctorul Zhang Yuyu  a spus reporterilor că extragerea cheilor a fost destul de dificilă. După ce i s-a adnistrat anestezia, un gastrointerelog a reușit să îi scoată cheile, dar și cardul pentru interfon, din esofagul bărbatului.

Foto: Sohu 

Recomandarea video

Citește și

Mediafax
Se circulă în condiții de iarnă pe A1 și pe drumuri din mai multe județe din țară
Digi24
VIDEO Ce a răspuns Trump când a fost întrebat de un reporter dacă l-ar captura și pe Putin, cum a făcut-o cu Maduro
Cancan.ro
Ce alți milionari români se aflau pe lista ucigașilor lui Adrian Kreiner. Thriller real cu filaj dintr-un pod părăsit!
Prosport.ro
Un turist cazat pentru a doua oară la hotelul Simonei Halep din Poiana Brașov a surprins personalul: „Încă nu ne vine să credem!”
Adevarul
„Asistăm la sfârșitul unei ere și asta privește și România”. Americanii schimbă regulile jocului: cine urmează după Venezuela
Mediafax
Anunț de la meteorologi: Ger în toată țara de sâmbătă până marți. Minime de până la -15 grade
Click
Vali Vijelie și impozitul pe cele 30 de apartamente. Cât scoate din buzunar anual pentru locuințele sale
Digi24
Theodor Stolojan: „Măsurile luate până acum nu sunt reformă. Ne-am împotmolit la o coterie transpartinică, la nivel central și local”
Cancan.ro
Călin Donca, descalificat de la Survivor 2026? 'Mi-ai stricat casa!' Altercație fizică violentă cu Cristi Boureanu
Ce se întâmplă doctore
Ce s-a ales de Alexandra King după divorțul de Ilie Năstase! Actrița americană a fost a doua soție a legendarului tenismen român
Ciao.ro
Amante celebre din showbiz-ul românesc! Unele au ajuns în faţa altarului, altele au rămas doar cu amintirea
Promotor.ro
Rusia a folosit din nou o „nucleară” împotriva Ucrainei. Racheta Oreșnik, lansată de pe un vehicul 12×12
Descopera.ro
Un obiect imposibil a fost găsit în spațiu!
Râzi cu lacrimi
BANCUL ZILEI. Două pițipoance stau de vorbă: – M-ai prins în mijlocul unei partide de amor!
Descopera.ro
Cel mai mare mister al Universului este tot mai aproape de a fi elucidat