20:24, 21 Nov 2025
The Sun publică o galerie foto cu unele dintre cele mai înfricoșătoare radiografii din istorie.
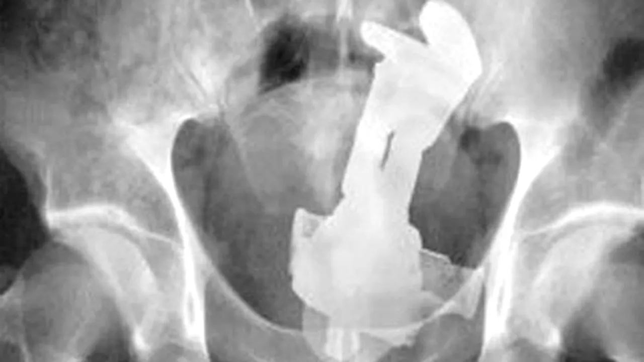
În imagini, se pot observa oameni care au ajuns la urgențe cu cuțite, chei, cuie, cârlige și alte obiecte tăioase înfipte în ochi, față sau alte părți ale corpului. Cu toate acestea, victimele au supraviețuit.
Iată mai jos imaginile terifiante:

sursa foto captură The Sun

sursa foto captură The Sun

sursa foto captură The Sun

sursa foto captură The Sun

sursa foto captură The Sun

sursa foto captură The Sun

sursa foto captură The Sun

sursa foto captură The Sun

sursa foto captură The Sun