Prima pagină » Magazin » „Cadoul” neprețuit primit de o femeie. „Viața va avea o nouă semnificație”

„Cadoul” neprețuit primit de o femeie. „Viața va avea o nouă semnificație”

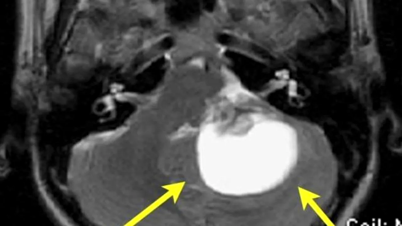
Americanca Stacey Kramer a fost diagnosticată, la vârsta de 43 de ani, cu o tumoare pe creier, de mărimea unei mingi de golf.

Americanca Stacey Kramer a fost diagnosticată, la vârsta de 43 de ani, cu o tumoare pe creier, de mărimea unei mingi de golf. După ce a învins boala, ea a relatat, în cadrul unui discurs motivațional susținut în fața unor tineri, că boala sa a fost precum „un cadou neprețuit” care a ajutat-o să își schimbe în bine viața.

„Veți avea o nouă înțelegere a încrederii în corpul vostru. Veți avea vitalitate și energie nemărginite. Vă veți extinde vocabularul, veți întâlni oameni noi, și veți avea un stil de viață mai sănătos. Și mai mult, veți avea o vacanță de opt săptămâni în care nu veți face absolut nimic”, a povestit ea. 

„Veți mânca nenumărate delicatese. Florile vor veni cu camionul. Oamenii vă vor spune: „Arăți fantastic. Ți-ai făcut vreo operație estetică?”, a relatat Stacey Kramer, potrivit Huffington Post.

Ea consideră că această experiență a ajutat-o să își schimbe în bine viața.

„Viața va avea o noua semnificatie. Pace, sănătate, seninătate, fericire, nirvana. Prețul? 55.000 de dolari. Iar aceasta e o afacere bună”, și-a încheiat Stacey Kramer parabola. 

Recomandarea video

Mediafax
Moș Nicolae se apropie: copiii își pregătesc ghetuțele. Tradițiile și obiceiurile dedicate Sfântului Nicolae
Digi24
JD Vance: UE nu ar trebui să atace companiile americane pentru „mizerii”. Elon Musk s-a grăbit să-i mulțumească vicepreședintelui
Cancan.ro
Rodica Stănoiu, înmormântare stranie, fără preot. S-au cântat colinde în loc de veșnica pomenire.
Prosport.ro
FOTO. Cum arată la 43 de ani Ileana Lazariuc, fosta noră a magnatului Ion Țiriac
Adevarul
O ucraineancă dată dispărută a fost găsită în mansarda unui român. Ce au declarat cei doi poliției: „Ea a fost cea care a organizat totul”
Mediafax
Horoscop 6 decembrie 2025: Zodiile care pot face pași importanți în iubire, la muncă sau în decizii personale
Click
Monica Pop, dată afară din restaurant! Ireal ce i-a făcut un angajat medicului și prietenelor sale: „Bineînțeles că și ospătarii și ceilalți participanți, erau consternați”
Digi24
VIDEO Trump vrea ca strategia de securitate a SUA să fie valabilă în toată lumea. Europa, în „declin civilizațional”, pusă pe planul do
Cancan.ro
Nuntă surpriză în Guvernul României. Premierul Ilie Bolojan s-ar fi căsătorit în secret
Ce se întâmplă doctore
Planta pe care trebuie să o pui la ușa casei ca să atragi bani, noroc și protecție, conform Feng Shui
Ciao.ro
Amante celebre din showbiz-ul românesc! Unele au ajuns în faţa altarului, altele au rămas doar cu amintirea
Promotor.ro
Tesla Model 3 Standard, disponibilă și în România. E cea mai ieftină Tesla și poate fi luată în rate
Descopera.ro
SINGURA diferență dintre Coca-Cola și Pepsi! Tu ȘTII?
Râzi cu lacrimi
BANCUL ZILEI. BULĂ nedumerit: - Iubita mea s-a întins pe canapea, şi-a dat fusta jos, şi-a smuls...
Descopera.ro
Cum să fii o gazdă sau un musafir bun în sezonul sărbătorilor?