Bartek Turek, un tânăr în vârstă de 18 ani pasionat de karate, a avut un accident nefericit în timpul antrenamentelor la un club sportiv din Statele Unite, scrie Daily Mail.
Cheia de la mașină, pe care tânărul o ținea în buzunar, i s-a înfipt în picior, în momentul în care a căzut pe spate, în timpul unui exercițiu.
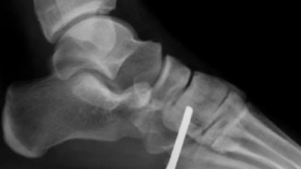
Băiatul din statul Illinois a fost dus de urgență la spital. Medicii au avut nevoie de șapte ore pentru a îndepărta cheia.
În urma unor radiografii, specialiștii au constatat că obiectul nu a cauzat nicio ruptură a oaselor. De asemenea, nici sistemul nervos nu a fost afectat.
Cu toate acestea, Turek a avut nevoie de cârje în momentul în care a fost trimis acasă.
„Am lovit-o cu piciorul înainte să cadă. Șansele erau de unu la un milion”, este aprecierea sa cu privire la ghinionul pe care l-a avut.




