Prima pagină » Magazin » Americanii ar putea aloca 50 de milioane de dolari pentru găsirea unui tratament împotriva unei „superbacteriii” cu transmitere sexuală

Americanii ar putea aloca 50 de milioane de dolari pentru găsirea unui tratament împotriva unei „superbacteriii” cu transmitere sexuală

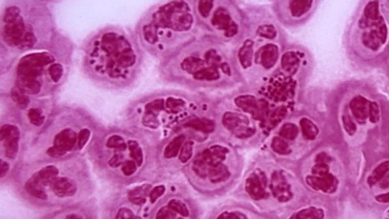
Americanii ar putea aloca 50 de milioane de dolari pentru găsirea unui tratament împotriva unei
Reprezentanții Centrului pentru Controlul și Prevenirea Bolilor cer Congresului american suma de 50 de milioane de dolari pentru dezvoltarea unui nou antibiotic.

Reprezentanții Centrului pentru Controlul și Prevenirea Bolilor cer Congresului american suma de 50 de milioane de dolari pentru dezvoltarea unui nou antibiotic. Acesta va fi utilizat pentru tratarea persoanelor infectate cu o „superbacterie”, o tulpină foarte rezistentă a gonoreei, informează Daily Mail.

Două persoane au fost infectate recent cu „superbacteria”, numită H041 și descoperită pentru prima oară în anul 2011 în Japonia. Specialiștii atenționează că H041 a ajuns și în statul american California, dar și în Norvegia.

„Infectarea cu această tulpină de gonoree ar putea să facă o persoană să intre în șoc septic și i-ar putea cauza moartea în doar câteva zile”, a declarat Alan Christianson, medic specialist în naturopatie. „Este foarte periculos”, a mai adăugat el.

Până la această oră, nicio persoană infectată cu H041 nu a murit. Cu toate acestea, experții îi atenționează pe oameni să evite această boală, practicând sexul protejat.

Recomandarea video

Citește și

Mediafax
Isărescu desființează ideea de premier tehnocrat: „Vorbești în gol, în deșert”
Digi24
Aproape jumătate dintre români consideră moțiunea de cenzură PSD-AUR un act politic inutil care va înrăutăți lucrurile
Cancan.ro
Dovada clară că Andreea Bălan a terminat-o cu Petrișor Ruge. Cu cine l-a schimbat, după ce nu l-a invitat nici la nuntă
Prosport.ro
FOTO. Iulia Pârlea, în costum de baie pe plaja din Grecia. Prezentatoarea TV pentru care s-au certat Marica şi Torje arată spectaculos
Adevarul
Ce ne așteaptă dacă președintele nu reușește să facă un guvern stabil. Economistul Radu Nechita: „România merge pe urmele Greciei”
Mediafax
Primul Ordin European de Merit: Merkel, Sandu și Zelenski, printre laureați
Click
Rareș Cojoc spune adevărul: a înșelat-o sau nu pe Andreea Popescu, fosta sa soție? „Știe foarte bine aceste lucruri”
Digi24
Xi Jinping i-a spus lui Donald Trump că Vladimir Putin ar putea „regreta” invazia în Ucraina. Ce a spus liderul SUA despre CPI
Cancan.ro
Detaliul care răstoarnă ANCHETA în cazul lui Cristian Staicu, medicul anestezist găsit mort în apartamentul său
Ce se întâmplă doctore
Elena Udrea, imagine rară din sala de fitness. Cum s-a fotografiat în colanți, la 52 de ani
Ciao.ro
Amante celebre din showbiz-ul românesc! Unele au ajuns în faţa altarului, altele au rămas doar cu amintirea
Promotor.ro
Bucureștiul va avea 8 noi parcări. Unde vor fi construite?
Descopera.ro
Astronomii au găsit una dintre primele galaxii ale Universului!
Râzi cu lacrimi
BANCUL ZILEI. O pescăriţă nervoasă, către pestişorul de aur – Ti-am spus să faci din bărbatul meu un armăsar!
Descopera.ro
Unde practicau neanderthalienii stomatologia acum 60.000 de ani?