Prima pagină » Magazin » Caz medical neobișnuit în Brazilia. A ajuns la spital cu migrene, iar medicii i-au spus că are „pietre” în creier

Caz medical neobișnuit în Brazilia. A ajuns la spital cu migrene, iar medicii i-au spus că are „pietre” în creier

Caz medical neobișnuit în Brazilia. A ajuns la spital cu migrene, iar medicii i-au spus că are
Un tânăr din Brazilia a ajuns la spital, după ce timp de 10 ani a suferit de migrene puternice și a avut probleme de vedere. Medicii au descoperit formațiuni calcaroase în creierul lui.

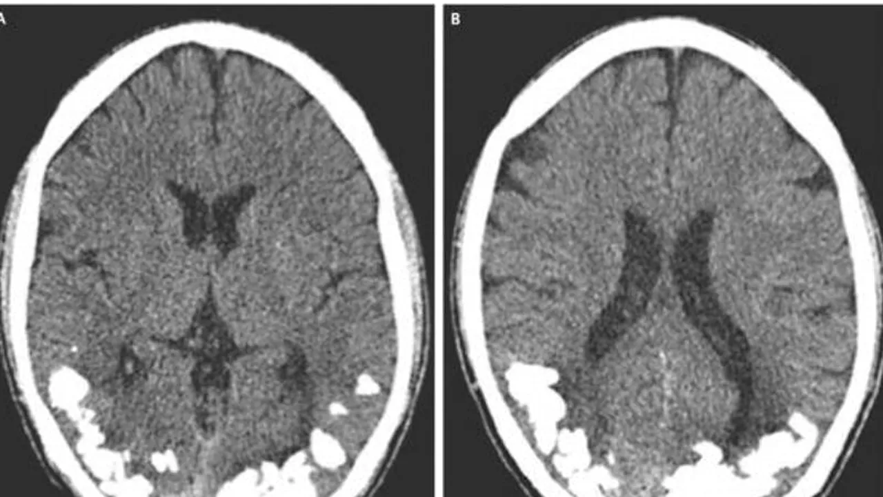
Medicii au descoperit în urma unei tomografii că în partea posterioară a creierul tânărului se formaseră de-a lungul timpului o serie de formațiuni calcaroase. Acestea se aflau chiar în regiunea unde se găseau nervii responsabili cu vederea, potrivit Live Science.

Analizele au arătat că bărbatul suferea, fără să știe de o boală autoimună numită celiachie, dar era tratat pentru migrene. În corpul său existau nivele ridicate de anticorpi specifici celiachiei, boală care afectează în special aparatul digestiv, mai exact intestinul subțire.

Această boală constă practic într-o intoleranță la gluten, proteină întâlnită în cereale ca grâul, orzul  sau secara.

Rezultatele analizelor au arătat totodată, că bărbatul avea o deficiență de fier, toate acestea ducând la apariția formațiunilor din creier.

Medicii i-au recomandat brazilianului să urmeze o dietă lipsită de gluten și să ia suplimente cu fier și o serie de medicamente specifice epilepsiei . După începerea tratamentului starea bărbatului s-a ameliorat.

Recomandarea video

Mediafax
Cristian Socol: Economia României s-a prăbușit. Suntem în recesiune profundă? Ce stă în spatele cifrelor statistice?
Digi24
China amenință cu „toate măsurile necesare” după ce CIA a publicat un clip în limba chineză pentru recrutarea de ofițeri
Cancan.ro
Gestul ireal făcut de fosta parteneră a lui Adrian Kreiner din spatele gratiilor. Ce le-a cerut magistraților 😲
Prosport.ro
FOTO. Mihaela Buzărnescu, apariție rară în costum de baie
Adevarul
Trupele NATO au fost „bătute măr” de ucraineni în cadrul unor exerciții în Estonia. „Suntem condamnați”
Mediafax
Nicușor Dan, mesaj după intrarea României în recesiune tehnică: „Nu e ceva ce descoperim acum. Economia României încetinește de patru ani, în ciuda unor deficite imense”
Click
Bancnota de 2.000 de lei cu eclipsa totală de Soare din 1999 a devenit o adevărată comoară. Cu cât se vinde în 2026
Digi24
Autospecială de pompieri, oprită de poliție în drum spre incendiu. Polițiștii se deplasau spre același incident
Cancan.ro
Lovitură de la tribunal pentru rudele tinerilor implicați în crima lui Mario Berinde din Cenei. Ce au decis judecătorii
Ce se întâmplă doctore
Ce mai face și cum arată acum Mirela Stoian, cea care a interpretat-o pe Lila, în „Vacanța Mare”. Actrița a intrat într-un con de umbră de ani buni
Ciao.ro
Vedete cu suflet mare! Ce persoane publice din România au adoptat copii
Promotor.ro
Rostec trimite BMP-3 către Rusia. Ajută în Ucraina sau ajung la „cimitirul” de 800 de unități distruse?
Descopera.ro
Cum arată ultima suflare a unei stele aflate pe moarte?
Râzi cu lacrimi
BANCUL ZILEI. O femeie goală pușcă primește în casă curierul. Îl duce în dormitor şi...
Descopera.ro
Peștii ar putea ascunde secretul pentru o alternativă sustenabilă la ambalarea alimentelor