Medicii au descoperit cauza de abia după moartea pacientului, potrivit unui nou raport publicat de revista de specialitate JAMA Neurology, citat de livescience.com. De vină a fost virusul Powassan, foarte rar, transmis de căpușe, în regiunile de N-E și Great Lakes din SUA. În ultimul deceniu, în SUA au fost înregistrate doar 100 de cazuri de infectare cu virusul Powassan.
Virusul poate infecta sistemul nervos central și cauzează o inflamație periculoasă, precizează CDC (Centrul pentru Controlul și Prevenirea Bolii).
Circa 10% din cazurile de infectare cu virusul Powassan sunt fatale. Din cauza rarității bolii, nu există o procedură standard de diagnosticare. Cazul bărbatului a devenit mai complicat, deoarece lua medicamente contra cancerului, care i-a afectat sistemul imunitar. Antibioticele contra virusurilor nu au funcționat, deoarece corpul acestuia nu producea destui anticorpi.
Există însă un test genetic, care poate fi folositor în asemenea cazuri: un test care „scanează” corpul pentru depistarea oricărui virus, bacterie sau agent patogen, care ar putea cauza afecțiunea, ci nu analizează o singură cauză. Testul, denumit USA (unbiased sequecing assay), a ajutat la diagnosticarea bărbatului cu virus Powassan, se arată în raportul coordonat de dr. Isaac Solomon, din cadrul Brigham and Women’s Hospital, Boston.
Un caz misterios
Bărbatul de 60 de ani suferea de limfom, cancerul sistemului imunitar. Pentru tratament, lua un medicament denumit rituximab, care acționează asupra sistemului imunitar. Problemele au început în decembrie 2016, când omul a ajuns la urgență cu febră și durere în testicule. Testele au arătat că avea o inflamație și medicii i-au dat antibiotice, după care l-au trimis acasă. Trei zile mai târziu, s-a întors la spital, cu probleme de vorbire și deplasare. De data aceasta, medicii i-au dat trei antibiotice și un tratament antiviral, suspectând că are o infecție, care determină inflamarea creierului (encefalită) sau a țesutului din jurul creierului (meningită).
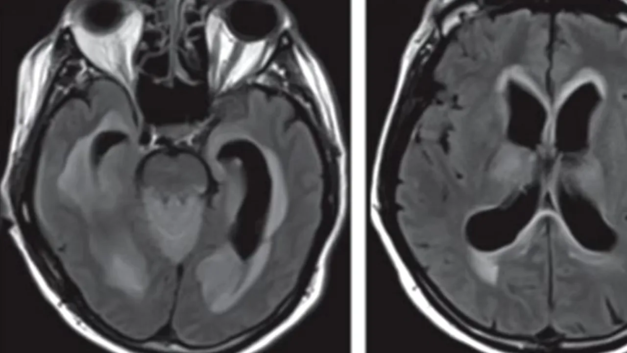
O săptămână mai târziu, starea acestuia s-a înrăutățit și pacientul a devenit mai puțin conștient. Medicii au presupus că avea o afecțiune severă la creier. Omul nu-și deschidea ochii la comenzile personalului medical. Un RMN a scos la iveală faptul că bărbatul avea un exces de lichid în creier, alături de alte leziuni ale acestuia.
Doctorii l-au verificat pentru numeroase boli, inclusiv Lyme, sifilis, toxoplasmoză, herpes, oreion și virusul West Nile. Toate testele au fost negative. Din nefericire, starea sa s-a agrava și a murit după două săptămâni petrecute în spital.

Credit: Reproduced with permission from JAMA Neurology. 2018. doi:10.1001/jamaneurol.2018.0132. Copyright©2018 American Medical Association. All rights reserved.
Misiune după moarte
După decesul omului, doctorii au continuat să analizeze cauza bolii misterioase. În cele din urmă, au ajuns la virusul Powassan. (rezultatele au fost disponibile de abia după decesul bărbatului).
S-a resimțit nevoia realizării unei „secvențieri metagenomice”, în care medicii „desfac” tot ADN-ul și ARN-ul într-o singură mostră. Ținând cont că tot materialul ge netic este de la un singur pacient, abordarea poate semăna cu căutarea acului în carul cu fân. În acest caz, „acul” era reprezentat de ADN-ul/ARN-ul viral sau bacterial, care determină apariția bolii. În cele din urmă, cercetătorii au descoperit material genetic aparținând virusului și au concluzionat că bărbatul a murit din cauza encefalitei, cauzată de Powassan.
Descoperirea „susține utilitatea testelor capabile să detecteze o gamă variată de agenți infecțioși”, în cazuri în care medicii nu par să identifice cauza encefalitei unui pacient.