21:42
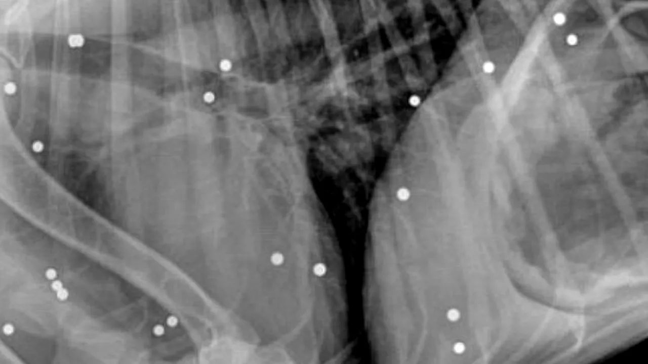
Un labrador a fost găsit agonizând în Waldoboro, Maine (SUA), în urmă cu câteva săptămâni. Câinele a fost dus de urgență la spital, iar medicii au fost uluiți când, după radiografie, au descoperit că fusese împușcat de peste 100 de ori cu un pistol cu aer comprimat, transmite Daily Mail.
Cățeaua a fost botezată Lady și, după ce și-a revenit, a fost adoptată.
Poliția încearcă să identifice persoana care a comis un act de o asemenea cruzime.
Dr. Dean Domeyer, care a tratat-o pe Lady, a spus că cele mai multe alice erau în pielea animalului, dar a trebuit să le înlăture pe toate ca să prevină infecția.
