Prima pagină » Sănătate » Neoplasm pulmonar, boala anului 2023. Avertismentul medicilor: nu doare, dar este fatală! Semnele care trebuie să te îngrijoreze

Neoplasm pulmonar, boala anului 2023. Avertismentul medicilor: nu doare, dar este fatală! Semnele care trebuie să te îngrijoreze

Neoplasm pulmonar, boala anului 2023. Avertismentul medicilor: nu doare, dar este fatală! Semnele care trebuie să te îngrijoreze

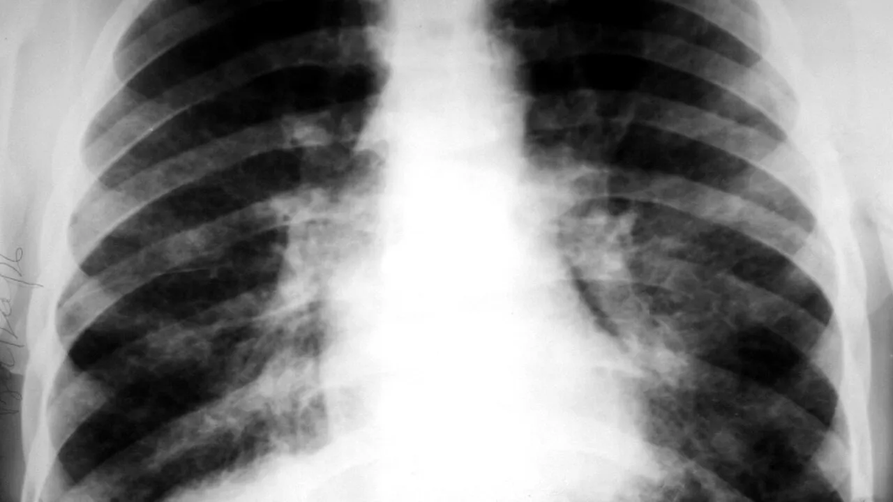
De la începutul anului, tot mai mulți români s-au îmbolnăvit de neoplasm pulmonar. Medicii pneumologi din cadrul Spitalului Clinic Judeţean de Urgenţă Arad trag un semnal de alarmă cu privire la numărul mare de pacienţi diagnosticaţi cu neoplasm pulmonar.

Aproape un sfert dintre cei care şi-au făcut bronhoscopii au primit acest diagnostic, arată cadrele medicale de la SCJU Arad.

În contextul dat, specialiştii recomandă testarea periodică, înainte să apară primele simptome.

30 de cazuri la 120 de verificări

De la începutul acestui an, la Arad, medicii specialişti au descoperit 30 de cazuri cu neoplasm pulmonar la 120 de pacienţi care şi-au făcut bronhoscopii.

Pentru a se depista afecţiunile pulmonare în stadii incipiente, doctorii recomandă examinările periodice. Motivul e simplu: „Plămânii au puţini receptori ai durerii, iar simptomele apar, adeseori, în stadii avansate ale bolii”.

Pentru diagnosticarea unei afecţiuni pulmonare, în urma consultului de specialitate, pacientul va fi investigat prin efectuarea unei endoscopii bronşice. În cazul în care este depistat un ţesut pulmonar suspect, atunci acesta poate fi extras pe parcursul bronhoscopiei, prin utilizarea unei sonde speciale – crio-sondă – cu ajutorul căreia ţesutul pulmonar suspect este îngheţat şi mai apoi extras. Sonda utilizată foloseşte dioxid de azot care produce o scădere bruscă de temperatură de până la -89 de grade Celsius.

Procedura este indicată atât pentru diagnosticarea corectă a neoplasmului pulmonar, dar şi pentru eliberarea căilor respiratorii prin extirparea tumorilor formate. Pentru criobiopsie, sonda este introdusă printr-un canal al bronhoscopului şi poate ajunge mai uşor la leziunea suspectă comparativ cu pensele de biopsie, mai ales dacă leziunea este localizată în periferia plămânului. Totodată, probele recoltate sunt mult mai mari şi cu mai puţine artefacte obţinându-se astfel un diagnostic precis.

La Arad, efectuăm această procedură din luna ianuarie, iar până acum au fost realizate 120 de bronhoscopii. Ţesuturile suspecte extrase sunt trimise mai apoi spre analiză la laborator, rezultatul fiind eliberat între 14 şi 21 de zile. Până acum am efectuat 35 de biopsii, iar din păcate, în cazul a 30 dintre acestea diagnosticul a fost de neoplasm”, a explicat dr. Erika Repolski, medic primar pneumolog.

Medicii recomandă persoanelor care au dureri în zona pieptului, respiraţie greoaie, tuse prelungită (uneori cu sânge), voce răguşită, infecţii pulmonare dese și acuză o lipsă a poftei de mâncare, însoţită de pierdere rapidă în greutate, să se prezinte de urgență la un medic pneumolog.

Recomandarea video

Citește și

Mediafax
A confirmat! AUR îl ia în calcul pe CĂLIN GEORGESCU pentru funcția de PREMIER
Digi24
Mesajul surprinzător al lui Friedrich Merz: „Nu le-aş recomanda copiilor mei să meargă în SUA, la studii sau la muncă”
Cancan.ro
Presa străină, ȘOCATĂ de prestația Alexandrei Căpitănescu la Eurovision. Ce au relatat jurnaliștii britanici 😲 ⤵️
Prosport.ro
FOTO. „Cea mai frumoasă femeie de pe planetă”. S-a căsătorit cu Eugenia și a spus-o fără ocolișuri
Adevarul
Pactul Bolojan-Orban: Planul secret pentru reîntregirea PNL și eliminarea influenței PSD
Mediafax
Favorita la câștigarea Eurovisionului ar putea influența retragerea Israelului din concurs
Click
Cele mai norocoase și fericite zodii ale verii 2026. Li se schimbă viața în bine, destinul le surâde pe toate planurile, au parte de iubire, bani și reușite neașteptate
Digi24
Traian Băsescu spune cine este „liberalul 100%” pe care l-ar vedea în funcția de premier. „Nu-l pune nimeni sub semnul întrebării”
Cancan.ro
Presa străină, ȘOCATĂ de prestația Alexandrei Căpitănescu la Eurovision. Ce au relatat jurnaliștii britanici 😲 ⤵️
Ce se întâmplă doctore
Imagini rare cu Oana Zăvoranu în anul 2000, înainte de operațiile estetice. Acum e total schimbată
Ciao.ro
Amante celebre din showbiz-ul românesc! Unele au ajuns în faţa altarului, altele au rămas doar cu amintirea
Promotor.ro
De ce doi șoferi cu aceeași mașină plătesc RCA diferit? Cât costă asigurarea auto în 2026 și care sunt tarifele de referință
Descopera.ro
Trucul simplu pentru plantele de apartament atunci când plecăm de acasă
Râzi cu lacrimi
BANCUL ZILEI. Într-un restaurant select, un muzician se apropie de masa lui Bulă
Descopera.ro
Vremea o ia razna în România! Ce au anunțat meteorologii pentru următoarele săptămâni?